
Voted Best Orthodontist in Denton County for 16 Years
Advanced care with heart
Welcome to [practice_name]
Welcome to [practice_name] in [city], [state], where expert orthodontic care meets a friendly, patient-first experience. Dr. [doctor_name] and Dr. [doctor_name2] customize every plan using digital diagnostics, clear aligners and modern braces to create healthy, confident smiles. We explain options clearly, schedule efficiently and respect your time at every visit. From early evaluations to adult treatment, our team focuses on comfort, precision and long-term results. Proudly serving patients from Flower Mound, Corinth, Lewisville, Lake Dallas, Denton, Double Oak, Argyle, Bartonville and Shady Shores. Discover orthodontics designed around you, delivered by specialists who listen and celebrate progress at each step of your smile journey.
Learn MorePersonalized care for every smile.
Advanced technology, gentle orthodontic treatments.
Beautiful results built on trust.



Dr. Kimberly Gronberg
Dr. Kimberly Gronberg is a skilled orthodontist dedicated to creating confident, healthy smiles. She earned her DDS and MS in Orthodontics from Baylor College of Dentistry, where she also taught and conducted research. At Gronberg Sugay Orthodontics in Highland Village, Texas, Dr. Gronberg combines artistry, precision and technology to deliver personalized results. She stays current through continuing education and professional leadership, helping patients of all ages achieve ideal function and beauty through gentle, effective orthodontic care.
Meet The TeamComprehensive Orthodontic Care
[practice_name] in [city], [state], offers complete orthodontic solutions for children, teens and adults. From traditional braces to advanced clear aligners, Dr. [doctor_name] and Dr. [doctor_name2] deliver customized treatments that balance function, health and aesthetics. Our team provides personalized care using modern technology to ensure efficient, comfortable and lasting results.
View All ServicesExpertise, comfort, technology, proven results.
Personalized Care You Can Trust
At [practice_name] in [city], [state], your smile is our priority. Dr. [doctor_name] and Dr. [doctor_name2] take time to understand your goals, ensuring treatment feels collaborative and comfortable. We combine advanced orthodontic technology with a warm, family-friendly atmosphere to create an experience centered on trust and results. Every patient receives customized care, clear communication and support through every stage of treatment—because your smile deserves expertise, compassion and precision that last a lifetime.
Advanced Technology, Better Results
[practice_name] in [city], [state], uses the latest orthodontic technology to make treatment faster, more comfortable and more accurate. Dr. [doctor_name] and Dr. [doctor_name2] use digital imaging, 3D scanning and precision planning to customize every smile. These tools allow for fewer appointments, shorter treatment times and predictable results. Patients appreciate the efficiency, precision and comfort that modern technology brings - ensuring every orthodontic journey is smooth, successful and centered on achieving lasting, confident smiles.
Compassionate Care, Exceptional Results
At [practice_name] in [city], [state], we believe orthodontic care should feel personal, supportive and rewarding. Dr. [doctor_name] and Dr. [doctor_name2] take time to get to know each patient, explaining each step clearly and ensuring comfort along the way. Our compassionate team creates a welcoming atmosphere where questions are encouraged and progress is celebrated. Every smile we design reflects our dedication to quality, kindness and the genuine joy of helping patients feel confident.
What Patients Are Saying
We had an excellent experience with Dr. Gronberg and her staff today. She was very knowledgeable and took the time to thoroughly explain the plan of care. I greatly appreciated her honest approach, ensuring that orthodontic treatment would only be recommended if necessary. She was very personable and professional as well!
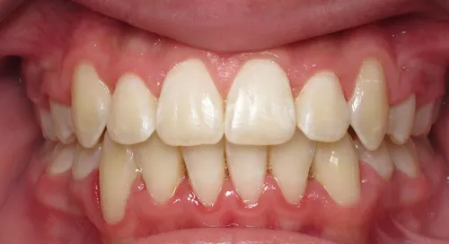
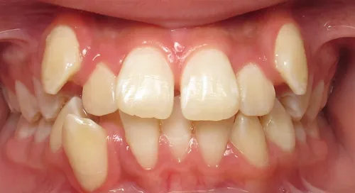
Smile Transformations
See the incredible before-and-after journeys of our patients. Every smile tells a story of confidence renewed through expert orthodontic care at [practice_name].
View Full Gallery
The Heart of Our Office
Dedicated to Your Smile
At [practice_name] in [city], [state], our experienced team is passionate about creating an exceptional patient experience. From your first phone call to your final appointment, we work together to ensure comfort, efficiency and care. Each member is highly trained in the latest orthodontic techniques and dedicated to personalized service. We value open communication, compassion and teamwork - creating a friendly atmosphere where every patient feels supported, informed and excited about their smile transformation.
Our caring, skilled team builds lasting relationships with every patient through trust, expertise and kindness, ensuring each visit feels welcoming, efficient and uplifting.
Meet Our TeamWe’re Ready When You Are
Request Your Appointment









